HPH Surgeon Mumbai
Welcome to www.hpbsurgeonmumbai.com/ www.pancreasandliversurgeon.com Make an appointment

Gall Bladder Stone Disease

Gall Bladder Stone Disease

Gallstones are small, pebble-like substances that develop in the gallbladder. The gallbladder is a small, pear-shaped sac located below your liver in the right upper abdomen. Gallstones form when liquid stored in the gallbladder hardens into pieces of stone-like material. The liquid - called bile - helps the body digest fats. Bile is made in the liver, then stored in the gallbladder until the body needs it. The gallbladder contracts and pushes the bile into a tube called the common bile duct that carries it to the small intestine, where it helps with digestion.

Gallstones can block the normal flow of bile if they move from the gallbladder and lodge in any of the ducts that carry bile from the liver to the small intestine like the Common Bile duct & the Hepatic ducts.

Gallstones can block the normal flow of bile if they move from the gallbladder and lodge in any of the ducts that carry bile from the liver to the small intestine like the Common Bile duct & the Hepatic ducts.

Sometimes gallstones passing through the common bile duct provoke inflammation in the pancreas - called gallstone pancreatitis - an extremely painful and potentially dangerous and life threatening condition. If any of the bile ducts remain blocked for a significant period of time, severe damage or infection can occur in the gallbladder, liver, or pancreas. Left untreated, the condition can be fatal.

Symptoms:

As gallstones move into the bile ducts and create blockage, pressure increases in the gallbladder and one or more symptoms may occur.Steady pain in the right upper abdomen that increases rapidly and lasts from 30 minutes to several hours or pain in between the shoulder blades or near the right shoulder.

Diagnosis

Diagnosis is usually confirmed on Sonography & Computerized tomography (CT) scan. Additional blood test is performed to access the Liver function.

Laparoscopic (key hole) removal of the Gallbladder is now the gold standard in these patients.Conversion to an open procedure may be done in extremely difficult cases in the patients best interest.

Recovery after laparoscopic surgery usually involves only a 48 hours stay in the hospital, and normal activity can be resumed after a few days at home. Because the abdominal muscles are not cut during laparoscopic surgery, patients have less pain and fewer complications than after open surgery, which requires a 5- to 8- inch incision across the abdomen.

If gallstones are present in the bile ducts, the physician - usually a gastroenterologist - may use ERCP to locate and remove them before or during gallbladder surgery.

Gall Bladder Cancers (GBC):

A disease of the elderly with higher incidence in patients with gallstone disease, porcelain gallbladder and large polyps / adenomyosis.Incidence higher in North and NE India especially along the Gangetic basin (industrial toxins).

Majority of Gallbladder cancers are associated with gallstones (80%). Symtoms may be similar to gallstone disease. It is imperitive that the surgeon sees every specimen of the Gall bladder removed for stones to identify early cancer in the operating room itself so as to initiate further treatment without delay. Jaundice in patients usually indicates an advanced disease and very often a guarded prognosis. Outcome is best for early GBC, and those with limited invasion in the surrounding organs like the liver & duodenum. Surgery varies from a radial cholecystectomy. (GB + lymphadenectomy + liver tissue from GB base) to segmental hepatectomy (4a +5) to extended hepatectomy. (Right trisegmentectomy) for advanced disease.


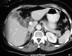
CT Scan Showing Cancer GallBladder

CT Scan Showing Cancer Gall Bladder

Intraoperative photo showing radical resection

Removal of Cancer Gallbladder

Specimen Showing Resected Gallbladder cancer

Specimen Showing Desected Gallbladder cancer